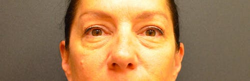
Eyelids and the Aging Process
The aging process can affect every facial feature, and the eyelids are no exception. As we age, the body produces less collagen and elastin, and the skin gradually loses its youthful quality and flexibility. Skin laxity and the force of gravity can cause excess skin to collect in the upper and lower eyelids.
Excess skin can cause bags, bulges, and wrinkles in the lower lids. An extra fold of loose, excess skin on the upper lids can interfere with the eyelid's natural contours or hang so low that vision is impaired.
Dr. Andres specializes in blepharoplasty procedures that can address these issues and restore a youthful appearance to your eyes. With his expertise, you can regain confidence in your eyes and enjoy a refreshed and rejuvenated appearance.























